Did you know that long ago in some parts of the world, painting teeth black was considered beautiful and elegant? This was a common practice in Japan centuries ago known as ‘ohaguro’ With the ever-changing times and beauty standards, white teeth is ideal to our perception of beauty now. A bright and shiny smile is often linked to good oral hygiene and a healthy smile.
However, black stains on teeth may still form despite your maximum efforts in trying to keep your teeth clean. These black stains are not all the same; some may form due to poor oral hygiene and tooth decay and others may form due to lifestyle or poor diet choices.

Fortunately, there are ways for us to remove or cover up those pesky black stains. Firstly, we would have to identify the source and types of stains on teeth to know how to treat them accordingly.
What Is The Normal Color Of Teeth?

Despite many people’s beliefs, not all teeth are naturally white in color. They come in various different shades of white, grey and yellow. There are many factors involved in describing the color of teeth such as lighting, translucency, light scattering and the way the brain and eye perceives color.
The outermost layer of enamel is a translucent material and the dentin beneath is a yellow-brown color. The translucency permits the dentin to show through the enamel, contributing to the yellow tinge seen in natural teeth.
Black Stain Causes
Smoking tobacco and drinking coffee or tea can cause black teeth stains. Poor oral hygiene and inadequate brushing and flossing of teeth can also cause plaque and tartar buildup on teeth. This may lead to tooth decay which gives the illusion of black teeth.

Chromogenic bacteria (which appears as a thin line of black stain next to the gum line) is also a possible cause of stained teeth. Other than that, old restorations and fillings may sometimes form dark stains on their margins as a result of dental caries (tooth decay). Certain metallic restoration materials such as amalgam can form amalgam blues which also darken the tooth. This is because the enamel is translucent, allowing the underlying metallic color to be seen.
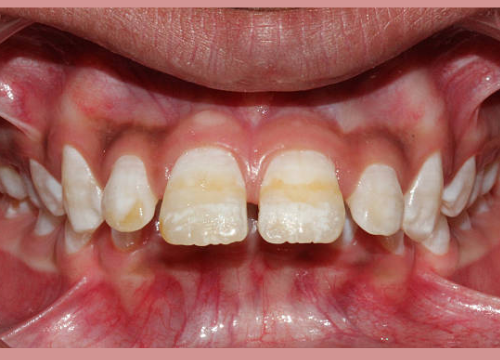
Consuming antibiotics such as tetracycline at a young age may cause the appearance of black teeth. There are also genetic disorders that can affect development of teeth. Conditions such as cystic fibrosis, fluorosis or dentinogenesis imperfecta affect the formation of enamel and dentin in the mouth which results in a stained teeth appearance. Age can also play a role in tooth discoloration. This is because the enamel wears down over the years and thins out. Furthermore, as we age, the thickness of dentin also increases. These factors can affect the light-transmitting properties of teeth and contribute to a more yellow and stained smile.
If there is a single stained tooth, the tooth may have possibly been exposed to dental trauma or a root canal treatment previously. This is caused by the dead pulp tissue bleeding into the dentin.
Types Of Stains
There are 2 types of tooth stains: intrinsic stains and extrinsic stains.
Extrinsic stains are surface stains on the tooth enamel, which is the outer layer of a tooth. It can be caused by factors such as:
- smoking or tobacco use
- frequently drinking colored beverages such as coffee, tea or red wine
- poor dental hygiene which builds up yellow/ black tartar
- taking liquid iron supplements through the mouth
- prolonged use of chlorhexidine mouthwash
Intrinsic stains are stains that affect the deeper layer of teeth (dentin) or are due to abnormalities or interferences of tooth structure formation. Some common causes include:
- fluorosis (white/brown spots on the tooth surface when there is excess fluoride intake while the child’s teeth were still developing)
- prescribing certain medications (such as tetracycline) to young children who have not completed tooth development
- dead tooth from trauma
- congenital diseases such as cystic fibrosis

How To Treat Staining
To treat the black stains, you must seek the help of a dental professional to identify the issue and source of the problem. The dentist will examine the black stain and recommend the appropriate treatment for it.
Extrinsic Stains
Extrinsic stains are usually removed by the routine scaling and polishing treatment. This is a professional cleaning procedure that can be performed by either a dental hygienist or a dentist.
An instrument called the ultrasonic scaler will be used to remove the black stains on the tooth surface via ultrasonic vibrations to break apart tartar or stain deposits. Polishing would then be done to smoothen the teeth surface.

However, even after scaling and polishing, the stains on teeth could still return after a while. This is due to lifestyle habits such as smoking and tobacco usage or constantly drinking coffee or wine. To maintain your white teeth for a longer period of time, you should modify your habits and try to quit smoking. Using a straw to drink colored beverages and rinsing your mouth with water after will also be helpful.
Intrinsic Stains
Intrinsic stains are more stubborn and tougher to get rid off since it affects the inner dentin. Therefore, a professional treatment for teeth whitening is required from a dentist. There are 2 options: in-office whitening or take home kits. Both utilize the use of bleaching agents such as hydrogen peroxide which penetrates deep into the tooth layers to break the black stains apart into smaller pigments. This allows the tooth to appear whiter.

You can also opt to use a whitening toothpaste or other over-the-counter products to help remove stains. However, the concentration for these products would be much lower than those that are used in the dentist’s office. However, in some severe cases of fluorosis or tetracycline stains, teeth whitening is not sufficient to mask the brown spots or black teeth. In cases such as these, the dentist may recommend veneers or dental crowns to cover up the stained teeth.
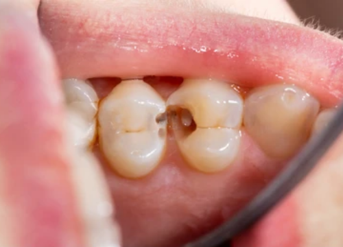
Tooth decay
When the black stains on teeth cannot be removed by scaling and polishing or whitening treatments, you may be dealing with a decayed tooth. Decay forms on teeth surfaces which results in black or brown cavities which will have to be removed and cleaned out by the dentist. A new filling material would be placed on top of it to seal the hole. A common restorative material used is composite resin, which is a tooth colored material to improve aesthetics.

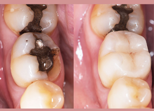
Old Fillings
Sometimes, old fillings which were previously placed into the cavity do not adhere to the tooth surface properly over time. This allows bacteria and plaque to get trapped in the cracks between, forming brown lines on the margins. Harmful bacteria would be able to travel deeper into the tooth and form decay below the fillings. This will give the tooth a grey shadowy appearance with dark stains.

If you have stained old fillings with dental decay, your dentist will remove your old fillings and replace it with a new one, possibly a tooth colored filling. The black stains will be removed during this process.
Non-vital Tooth
If you had a root canal treatment before, your treated tooth would be considered as non-vital. It is common for non-vital teeth to become stained as a result of pathological events within the tooth. For this situation, the dentist would recommend an internal non-vital bleaching. The dentist will drill a small hole at the back of your tooth and insert the bleaching agent into the hole. Then, the hole will be filled and you’d be asked to return the following week to repeat the procedure until it reaches your preferred tooth shade. This may take up to 3 or 4 weeks. However, this treatment may not work at all. If there is no change, the dentist may consider a veneer or a crown to cap the tooth.
Can Home Remedies Remove Stains?
Whitening toothpastes contains mild abrasives and chemicals that can help remove black stains off teeth and result in whiter smile. However, prolonged use would strip down the enamel layer and cause sensitive teeth. Other whitening products such as brushing with baking soda, apple cider vinegar and turmeric are not proven to help with whitening teeth as there is no evidence that it would work to give you a whiter teeth.
Prevention And Remedies Of Black Stains
After the treatment process, it is important to maintain your white smile and oral health. Here are some tips for the prevention of future black stains and maintaining a good oral hygiene.

- Examine and inspect your teeth regularly
- Brushing your teeth twice a day with fluoridated toothpaste
- Flossing or using an interdental brush to clean between your teeth
- Visiting a dentist regularly to maintain good oral health
- Eat healthy foods and drinks with less sugar content
Teeth do not become stained overnight. It is a process that happens gradually over time. Practising good oral hygiene can prevent tooth decay and black teeth from occurring again. If black stains are hindering your smile, please do make an appointment with our friendly dentists at Ocean Dental to fix your problem. We will identify the problem at hand and recommend a suitable treatment for your teeth. In our clinic, we offer the in-office Zoom whitening and the take-home kits for whitening services.
Find out more about our teeth whitening services.
References
1. Joiner A. Tooth colour: a review of the literature. Journal of Dentistry. 2004;32:3-12.
2. Watts A, Addy M. Tooth discolouration and staining: a review of the literature. British Dental Journal. 2001;190(6):309-316.

