Announcement:

Now accepting applications for dental assistants and receptionist. Apply at Careers page and be part of our team!

Everything You Need to Know About Overbite

Topics Covered

 

  • What an impacted wisdom tooth is and why impaction occurs
  • Types of wisdom tooth impaction and how they differ
  • Common symptoms and complications caused by impacted teeth
  • How dentists diagnose an impacted wisdom tooth
  • Treatment options, including when surgical removal is recommended
Dr. Ryan ChuaWritten by Dr. Ryan Chua
Dr. Terence KooiReviewed by Dr. Terence Kooi

Share

Have you ever wondered what makes a smile perfect? Other than white, glistening teeth, many other factors play a role. To achieve a beautiful profile, your upper and lower teeth would have to meet and overlap precisely when you bite down. However, in the case of a malocclusion, the upper and lower teeth will be misaligned and give the appearance of crooked teeth when they come together. A deep overbite is a common example of a malocclusion.

By the end of this article, you will gain more information you need to know about an overbite!

What Is An Overbite?

An overbite is the vertical overlap between the upper and lower front teeth when the back molars bite together. Overbites of up to 2 millimeters are considered normal and ideal. However, when there is an excessive overlap exceeding 3-4 mm, it is known as a deep bite.

According to a systematic review regarding global distribution of malocclusion for permanent teeth, 21.98% of the population suffers from an overbite of more than 2.5 mm.[1] In a study by Proffit and Fields, severe deep bite (overbite  5mm) is found in nearly 20% of children and 13% of adults.[2]

How To Measure An Overbite?

To assess your overbite at home, you need to stand in front of a mirror and get a good view of your front teeth. Gently bite down on the back teeth and smile wide to inspect your teeth. If your upper teeth cover a significant portion of your lower teeth, or if the incisal edges (biting surface) of your upper teeth are close to the lower gums, you may have deep bite.

To confirm this, the most accurate way is to seek a professional opinion at the dentist’s. The dentist will mark the incisal edges of your upper front teeth on the outer surface of your lower front teeth. The distance between the incisal edges of lower incisors to the mark will give you the overbite figure in millimeters. [3]

Classifications And Causes Of Overbite

Overbites can be divided into 2 classes: developmental and acquired.[4] They can be further categorized into different classifications.

1. Developmental Overbite

  • Skeletal overbite

The size, shape and relative positions of the upper and lower jaw is one of the factors influencing how the upper and lower teeth relate with each other. For example, if you have a small or underdeveloped lower jaw, it would be positioned further backwards compared to the upper jaw. This would lead to the upper anterior front teeth protruding over the lower teeth, resulting in a Class II malocclusion and possibly deep overbite too.

  • Dental overbite

This condition stems from improper alignment (crooked teeth) or missing teeth. Supernumerary (extra) teeth in the upper jaw or missing teeth in the lower jaw can cause an overbite, mirroring the condition of the small lower jaw stated above.

2. Acquired Overbite

  • Early loss of Deciduous/ Baby Teeth

When your deciduous teeth is lost early, spaces are created between your teeth. This can form an overbite.

  • Wearing of Tooth Surface

As the biting surfaces of your back teeth wear and thin down, there is a tendency to experience a deeper overbite.

  • Muscular

Muscles or soft tissues that surround the teeth such as the tongue, lips and cheek can influence the position of teeth. They can cause the upper front teeth to become retroclined when an overbite is present. This means that the teeth are angled backwards.

Some other factors that may cause overbite are mentioned below:

  • position and size of the jaw
  • missing teeth or small teeth
  • short facial type
  • loss of posterior occluding teeth
  • thumb sucking
  • prolonged pacifier use or bottle feeding
  • nail biting

Overbite Problems

If an overbite is not corrected, the lower front teeth may continue to grow upwards until they collide into the back cingulum of the upper front teeth. This can cause the incisal surface of the lower front teeth to wear down more quickly as the tooth enamel is constantly grinding against the upper teeth. Tooth decay are also more likely to occur amongst the misaligned teeth as it is harder to clean.

For some severe cases, the lower front teeth will continue growing upwards into the gums behind the upper front teeth and the roof of your mouth. In addition to that, the upper front teeth also extends and grows into the gums in front of the lower teeth. In the long term, these can cause health issues such as gum disease, ulcers and even tooth loss.

How serious is overbite?

Besides that, overbite can also cause TMJ (temporo-mandibular joint) problems and jaw pain. This is due to the deep bite tensing the muscles of the face, as well as clenching and grinding of teeth. With the deep bite, people tend to experience speech impediments and interference with eating as the tissues are traumatized by the severe overbite. Another common problem faced by people is lower self esteem issues from the appearance of their teeth.

Do overbites get worse with age?

In a study to determine the distribution of malocclusion worldwide, it was found that there was an overbite reduction from the mixed to the permanent dentition. This shows that as pre-teens enter their adolescence years, their overbite problem will improve slightly. This is due to both occlusal and bite stabilization involving full eruption of premolars and second molars, and the more pronounced mandibular (lower jaw) growth. [1]

Overbite Treatments & Corrections

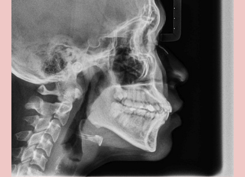
There are several different treatment options to correct a deep bite. Your dentist or orthodontist would take a look at your mouth, palpate your tissues and perform an X-ray known as lateral cephalogram to check your bite. After coming to a diagnosis, the dentist would come up with a treatment plan for your condition.

Difference Between Overbite and Overjet

An overbite is often mixed up with overjet or underbite as they tend to occur together. As a general guide, an overbite is when there is a vertical overlap between the upper front teeth that cover the lower teeth from top down. An overjet is however a horizontal overlap whereby the upper front teeth protrude out and over the lower front teeth.

Should an overbite be corrected?

The Index Of Treatment Need (IOTN) is a rating system that is used to assess the severity of malocclusion and the need for orthodontic treatment. According to the Dental Health Component, the following applies:

How do you fix an overbite?

Dental deep bite

Braces, clear aligners (such as Invisalign) or upper removable appliances form the treatment options to improve your smile. There are different types of braces available in the market, each with its advantages. Your dentist could also refer you to an orthodontist for this treatment.

1) Braces

Braces are also known as fixed orthodontic treatment. The most common option consists of metal brackets and metal wires, secured by colored elastics known as modules. This traditional metal braces is the most affordable option, but comes with some cons such as noticeable brackets and ulceration at the start. There are also ceramic braces and self-ligating braces available in clinics.

2) Clear aligners 

Clear aligners consist of a series of clear removable plastic tray aligners which gradually straighten teeth. They are almost unnoticeable and allow you to undergo treatment discreetly. This option is more comfortable too as there is no irritation to gums or surrounding tissues. 

3) Upper removable appliance (URA)

URAs are acrylic-based appliances with metal wires attached. They are used for the upper arch of teeth and are used to improve your teeth’s aesthetic and function. When a flat anterior bite plane is added to the URA, a deep bite can be corrected by inducing your back molars to erupt further out, thus reducing the deep bite.

Skeletal deep bite

Skeletal deep bites are caused by jaw issue, so a more complex treatment is needed.

For growing patients, there are growth modification techniques to promote or restrict growth of the jaws. This consists of headgears or a twin block appliance. This allows the face muscles to pull the lower jaw forwards, reducing the malocclusion and increasing facial height.

In the case of adults who have completed growth, jaw surgery (also known as orthognathic surgery) is required with sometimes, a conjunction of fixed orthodontics. Your dentist would refer you to an oral surgeon for the procedure where cuts in the jawbones will be made and the jaw will be realigned to the proper position. Bone plates, screws and wires would be inserted to secure the jaw into its new position.

Summary

Straightening your teeth can not only improve your aesthetics, but also improve your oral health and self esteem. If you are interested in having braces or clear aligners treatment, contact your dentists or orthodontists for a check up to inquire more. Ocean Dental has highly trained general dentists who are qualified to produce these treatment. We would be happy to answer any questions and address your needs.

Find out more information about our braces services or contact us at contact@oceandental.sg if you have any questions!

References

1) Alhammadi M, Halboub E, Fayed M, Labib A, El-Saaidi C. Global distribution of malocclusion traits: A systematic review. Dental Press Journal of Orthodontics. 2018;23(6):40.e1-40.e10.

2) Proffit WR, Fields HW. Contemporary orthodontics. St Louis: C.V. Mosby; 2007. 

3) Jalaly T, Ahrari F, Amini F. Effect of tongue thrust swallowing on position of anterior teeth. J Dent Res Dent Clin Dent Prospects. 2009;3(3):73-77.

4) Amarnath BC, Prashanth CS, Dharma RM. Clinical overview of deep bite management. Int J Contemporary Dent. 2010 Nov;1(2):30–3.

5) Prabhat K, Goyal L, Gupta N, Maheshwari S. A critical review of the management of deep overbite complicated by periodontal diseases. European Journal of General Dentistry. 2012;1(1):2.

Need a Healthy Smile? Book Now


Schedule Appointment

  • Complete the form with your basic details
  • Select the dental service you need
  • Pick a convenient date and time
  • Choose how you’d like us to reach you
  • Relax – we’ll get in touch within 24 hours to confirm your appointment!
  • Clinic Hours

    Monday, Tuesday, Wednesday & Friday
    09:30 AM to 08:30 PM
    Thursday, Saturday & Sunday
    09:30 AM to 05:30 PM

    Book an Appointment

    Get personalized care from our expert team


    Opening Hours

    Monday: 9.30am to 8.30pm
    Tuesday: 9.30am to 8.30pm
    Wednesday: 9.30am to 8.30pm
    Thursday: 9.30am to 5.30pm
    Friday: 9.30am to 8.30pm
    Saturday: 9.30am to 5.30pm
    Sunday: 9.30am to 5.30pm

    Location

    © 2017-2026 Ocean Dental (Singapore) Pte Ltd. All rights reserved.

    Scroll to Top